CURSO ONLINE EXTENSIVO DE DERMATOSCOPIA

Descubra como conquistar a excelência na Dermatoscopia, obtendo a segurança e o conhecimento necessários para um diagnóstico preciso, tornando-se referência no assunto.

dermatologistas-dr-leonardo-avila-e-dra-laura-bertanha-dermatoscopia.png

Se você sente que precisa elevar sua técnica, aumentar seu campo de atuação e conhecimento, para superar os desafios da prática diária na avaliação de lesões, uso do dermatoscópio e mapeamento corporal, esse curso é para você.

No Curso Online Extensivo de Dermatoscopia trazemos de forma didática, com aulas gravadas e ao vivo, todo o nosso conhecimento, adquirido por mais de 15 anos de experiência no dia a dia da Dermatoscopia, com casos reais únicos e imagens de alta qualidade, para que você possa, de uma vez por todas, dominar essa área tão fascinante da dermatologia.

dermatologistas-dr-leonardo-avila-e-dra-laura-bertanha-dermatoscopia.png

Valor do investimento no Curso

R$ 3.998,00 à vista
ou em 12 x de R$ 413,49 no cartão

Tornando-se nosso aluno, você terá:

Tornando-se nosso
aluno, você terá:

9 módulos gravados e diversas aulas extras e materiais bônus, incluindo palestras ministradas pelo Dr. Leonardo Ávila no
XIII Curso Anual de Dermatoscopia;

+ de 30h de conteúdo e + de 50 aulas disponíveis na plataforma (reveja quantas vezes quiser durante o período de acesso);

Aula gravada completa e detalhada sobre Mapeamento Corporal & Dermatoscopia Digital, com paciente modelo;

Acesso à nossa rica comunidade de alunos no WhatsApp – Clube de Leitura Dermatoscópica - onde tiramos dúvidas dos alunos e debatemos casos do dia a dia da prática);

PDF com orientações de livros, publicações e sites para estudos complementares sobre os assuntos abordados no Curso;

Material complementar em PDF e em vídeo didático 3D;
Além do suporte para dúvidas com Dr. Leonardo e Dra. Laura;

Certificado de
conclusão digital;

Acesso à plataforma por 9 meses;

Planos de renovação para ex-alunos online.

Para quem é o Curso Online
Extensivo de Dermatoscopia?

Dermatologistas que ainda estão no início da sua experiência clínica, ou que já possuem experiência e querem ter maior segurança nos diagnósticos dos seus pacientes.

Ex-alunos do Curso de Imersão Presencial que necessitam atualizar seus conhecimentos por meio de casos clínicos reais.

Residentes em Dermatologia.

Residentes que desejam prestar o exame para obtenção do Título de Especialista em Dermatologia pela Sociedade Brasileira de Dermatologia (SBD).

Oncologistas, Cirurgia Plástica, Otorrinolaringologia, Clínicos Gerais, Cirurgia de Cabeça e Pescoço, Medicina de Família e Comunidade, que atuam na área de Oncologia Cutânea.

Com o Curso Online Extensivo de
Dermatoscopia você irá conquistar:

Com o curso online
extensivo de dermatoscopia
você irá conquistar:

Atuação

Aumentar e aprimorar os serviços prestados, se especializando em Dermatoscopia e Mapeamento Corporal, área que poucos profissionais dominam.

Precisão

O conhecimento sobre a Dermatoscopia e a Histopatologia, colaboram para hipóteses diagnósticas finais precoces e com maior acurácia.

Segurança

A Dermatoscopia favorece a visualização detalhada das lesões cutâneas, a análise das doenças dermatológicas e a segurança das suas decisões clínicas.

Prognóstico

Complementar a história clínica e colaborar para o diagnóstico precoce e correto auxiliam no prognóstico dos nossos pacientes.

Valor do investimento no Curso

R$ 3.998,00 à vista
ou em 12 x de R$ 413,49 no cartão

NÃO FIQUE COM DÚVIDAS

Confira os detalhes das nossas aulas

Aulas gravadas na plataforma

1) Introdução: Histórico e definições.

– Dr. Leonardo Ávila

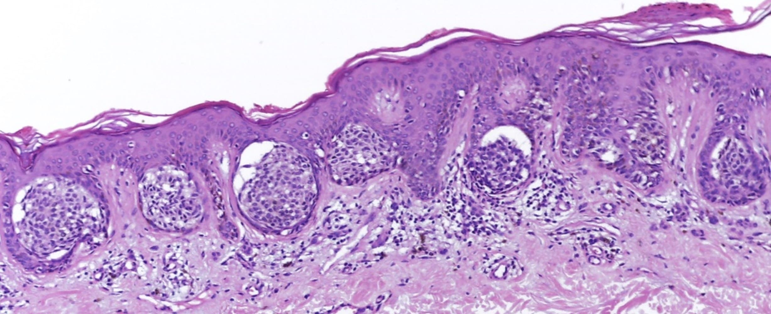
2) Histologia básica de lesões melanocíticas benignas.

– Dra. Laura Bertanha

3) Histologia básica do melanoma.

– Dra. Laura Bertanha

4) Conceitos básicos e Estruturas dermatoscópicas das lesões melanocíticas (Rede pigmentar típica e atípica, pontos e glóbulos, estrias radiadas/pseudópodes, estrias ramificadas).

– Dr. Leonardo Ávila

5) Estruturas dermatoscópicas das lesões melanocíticas (Véu azul-esbranquiçado, áreas amorfas, despigmentação, crisálidas, rede invertida).

– Dr. Leonardo Ávila

6) Correlação histológica das estruturas dermatoscópicas das lesões melanocíticas.

– Dra. Laura Bertanha

7) Algoritmos (Análise de padrões: Padrão global).

– Dr. Leonardo Ávila

8) Algoritmos (Análise de padrões: Padrão local).

– Dr. Leonardo Ávila

9) Lesões melanocíticas: Nevo melanocítico juncional, composto e intradérmico, Nevo melanocítico atípico x Melanoma, Nevo melanocítico congênito.

– Dr. Leonardo Ávila

10) Lesões melanocíticas: Nevo Azul, Nevo de Reed & Nevo de Spitz, Nevo Recorrente, Melanoma Recorrente e Nevo Halo.

– Dr. Leonardo Ávila

11) Correlação dermatoscopia-histologia das lesões melanocíticas.

– Dra. Laura Bertanha

12) Lesões não-melanocíticas: Carcinoma Basocelular.

– Dr. Leonardo Ávila

13) Correlação dermatoscopia-histologia do Carcinoma Basocelular.

– Dra. Laura Bertanha

14) Lesões não-melanocíticas: Ceratose Seborreica.

– Dr. Leonardo Ávila

15) Correlação dermatoscopia-histologia da Ceratose Seborreica.

– Dra. Laura Bertanha

16) Lesões não-melanocíticas: Dermatofibroma, Acantoma de Células Claras.

– Dr. Leonardo Ávila

17) Correlação dermatoscopia-histologia do Dermatofibroma e Acantoma de Células Claras.

– Dra. Laura Bertanha

18) Lesões não-melanocíticas: Angiomas, Angioqueratomas, e “Kuidado” com o Angiossarcoma.

– Dr. Leonardo Ávila

19) Correlação dermatoscopia-histologia de Angiomas, Angioqueratomas e Angiossarcoma.

– Dra. Laura Bertanha

20) Lesões não-melanocíticas: Carcinoma Espinocelular e variantes do espectro.

– Dr. Leonardo Ávila

 

21) Correlação dermatoscopia-histologia do Carcinoma Espinocelular e variantes do espectro.

– Dra. Laura Bertanha

 

22) Lesões não-melanocíticas: Hiperplasia Sebácea, Mamilo Supranumerário.

– Dr. Leonardo Ávila

 

23) Correlação dermatoscopia-histologia da Hiperplasia Sebácea, Mamilo Supranumerário.

– Dra. Laura Bertanha

24) Lesões Pigmentadas da Face.

– Dr. Leonardo Ávila

 

25) Lesões da Palma e da Planta e Correlação Histopatológica.

– Dra. Laura Bertanha

 

26) Lesões do Aparato Ungueal e Correlação Histopatológica.

– Dra. Laura Bertanha

27) Qual dermatoscópio escolher? – polarizado X não polarizado, contato X não-contato.

– Dr. Leonardo Ávila

 

28) Prova de 10 questões – Teste seus conhecimentos adquiridos.

– Dra. Laura Bertanha & Dr. Leonardo Ávila

Assuntos abordados nas aulas extras e complementares aos módulos acima

Depoimentos dos alunos

VALOR DO SEU INVESTIMENTO

R$ 3.998,00 à vista
ou em 12 x de R$ 413,49 no cartão
Ainda na dúvida?
Se, dentro deste período, por alguma razão, você perceber que o curso não é para você, sentiremos muito.

Mas você poderá enviar um e-mail para o nosso suporte, solicitando o cancelamento da sua inscrição, que devolveremos integralmente o seu investimento.

Conheça o
Dr. Leonardo Ávila

Formado pela Universidade Federal de Goiás, com residência médica em dermatologia na Unicamp, estudou profundamente nesse período os tumores cutâneos, principalmente o melanoma.

O interesse pela dermatoscopia foi implacável na sua carreira e o impulsionou a continuar, fazendo diversas especializações tanto no Brasil como no exterior, com profissionais renomados na área.

Ao longo desses anos, entendeu que, o que mais o move, é poder ser disseminador de conhecimento profundo sobre a dermatoscopia, ressaltando a importância da sua utilização no acompanhamento dos pacientes, o uso correto dos equipamentos e a importância de tudo isso no diagnóstico precoce.

Já são mais de 2.000 alunos, inúmeras palestras e eventos, e muitos pacientes que pode auxiliar. Ensinar e atender com excelência e profissionalismo sempre serão as suas prioridades.

dra-laura-bertanha-monitor-dermatoscopia.jpg

Conheça a
Dra. Laura Bertanha

dra-laura-bertanha-monitor-dermatoscopia.jpg

Graduação em medicina e residência médica em dermatologia pela Unicamp.

Especialização em cirurgia do aparato ungueal pelo HSPM.

Titular da SBD e Doutora em Ciências pela Unicamp.

Membro da European Nail Society.

Assistente nas áreas de Dermatopatologia e Cirurgia Dermatológica no Hospital Servidor Público Municipal de São Paulo.

CRM-SP 140.374 | RQE 45.438

Perguntas frequentes

O Curso Online Extensivo de Dermatoscopia é um treinamento em formato digital, isto é, todas as aulas são realizadas na modalidade online.

Possui aulas gravadas previamente, para você assistir onde e quando quiser.

Abaixo, confira a lista meios de pagamentos disponíveis na plataforma Hotmart, onde o curso está sendo vendido:

  • Cartão de crédito
  • Cartão de débito virtual Caixa
  • Boleto bancário
  • Financiamento por boleto parcelado (Parcelex)
  • Saldo Hotmart (apenas para o Brasil)
  • PIX

Mediante a confirmação do pagamento, o acesso às aulas será imediato pela plataforma Hotmart.

Você receberá um link no seu e-mail, enviado pela Hotmart, com todas as informações para criar seu login e começar o seu curso na plataforma.

Você terá acesso às aulas por 9 meses a partir da data da sua compra. Há possibilidade de renovação, com planos promocionais e especiais para ex-alunos, que tenham interesse de continuar os estudos após os 9 meses de acesso.

Tem alguma pergunta?